

Blog
2025年12月24日
インプラント治療は「しっかり噛めるようになる」「見た目が自然」など多くのメリットがありますが、もう一つ大切なポイントがあります。
それは、正しく管理すれば20年以上、さらには30年近く長期間にわたり安定して使用できるということです。当院ではこれまで数多くの長期経過症例を診てきましたが、長く安定している患者さんには「共通点」があります。
今回は、20年後もインプラントが健康に使えている理由を、実際の症例写真(イメージ)とともにご紹介いたします。



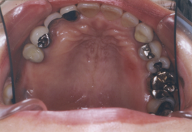
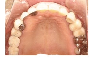
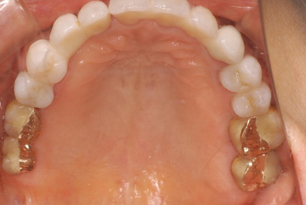
治療内容 右上6番7番の欠損
治療期間 2005年2月22日~2005年7月7日
費用 800,000円



20年前、重度の歯周病で歯を失い、インプラント治療を行った患者さんのケースです。治療後は定期メンテナンスを欠かさず、ご自身でも丁寧なセルフケアを続けてこられました。
その結果、骨の吸収も minimal で、インプラント体(フィクスチャー)は20年経っても非常に安定しています。
インプラント治療において最も重要と言っても過言ではないのが、治療前に歯周病をしっかり治しておくことです。
インプラントは天然歯と違い「歯根膜」がありません。粘膜と骨に直接力がかかるため、炎症がある状態ではすぐにダメージが蓄積してしまいます。
20年安定している症例は例外なく、治療前の歯周病コントロールと定期健診が徹底されています。
インプラントは大きく3つのパーツで構成されています。
多くの方が「インプラントは一生もの」と誤解していますが、正確には
“フィクスチャーは長期間持つが、上部構造には寿命がある”
というのが本当のところです。
・噛む力による金属疲労
・セラミックの微細なクラック(特にジルコニア以外)
・スクリューのわずかな緩み
見た目はきれいでも内部に疲労が蓄積していることがあり、20年ぴったり同じ上部構造を使い続けられるケースは多くはありません。
インプラントには天然歯のようなクッションである歯根膜がありません。
そのため、横からの力(側方力)に弱く、負荷が一点に集中しやすいという特徴があります。
・力が一点に集中するとスクリューが緩みやすい
・被せ物の破折リスクが高くなる
・最悪の場合、フィクスチャー本体の破折につながる
当院では、セット時・メンテナンス時の両方で噛み合わせチェックを行い、
必要に応じて微調整することでインプラントを長持ちさせています。
特に「食いしばり・歯ぎしり」がある方は、ナイトガード(スプリント)使用がほぼ必須です。
夜間の無意識の力からインプラントを守る大切な装置です。
インプラント周囲炎は、痛みが出ないまま進行することが多いのが特徴です。インプラントはむし歯にはなりませんが歯周病にはなります。ですので検査時の出血などインプラント歯肉炎で早期に炎症を抑えて管理しインプラント周囲炎にさせないようメンテナンスしています。
・インプラント周囲の歯周ポケット測定
・咬合のチェック
・スクリューの緩み確認
・清掃状態
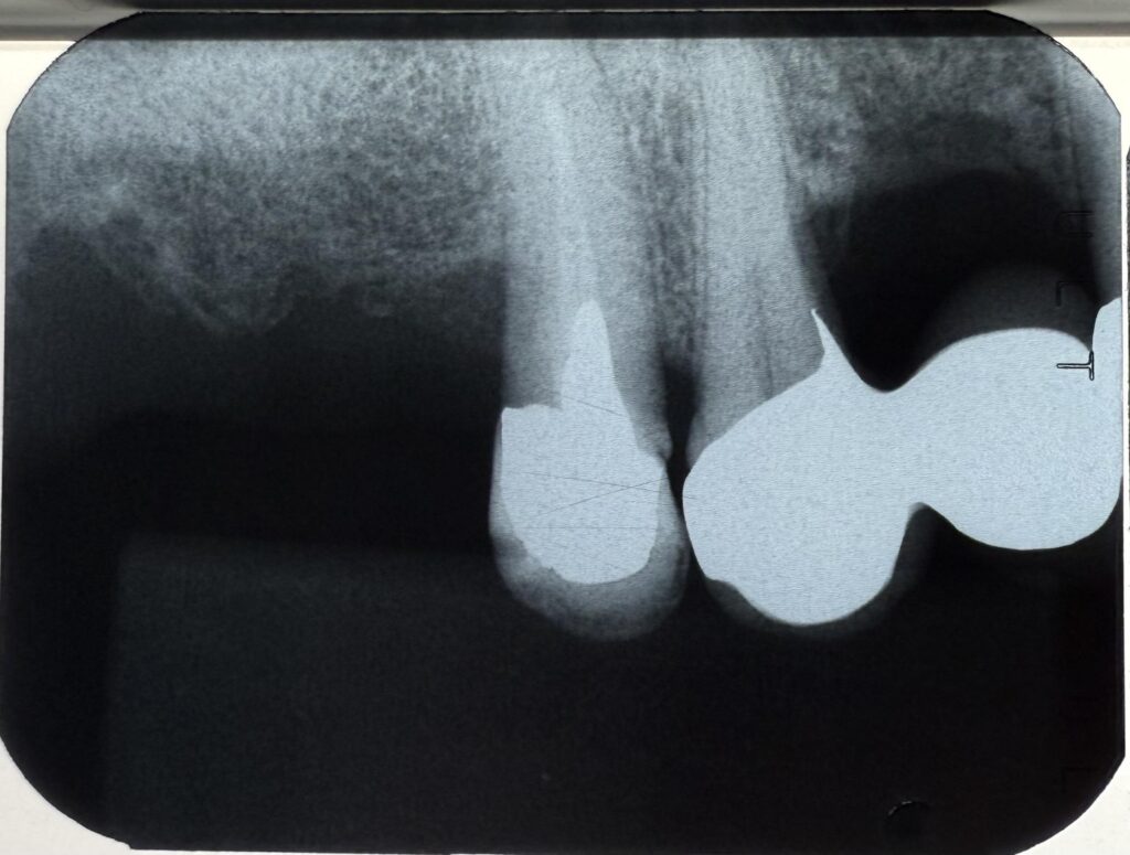
・レントゲンでの骨吸収の比較
とくにレントゲン比較は非常に重要で、初期と現在を見比べることで微細な変化を早期に発見できます。
10〜15年を過ぎると、上部構造には次のようなトラブルが出やすくなります。
これらを放置して使い続けると、最悪の場合、インプラント体が破折して再治療できなくなることもあります。
定期的な交換は「余計なこと」ではなく、インプラント本体を守るために必要なメンテナンスの一部です。
これらを続けることで、インプラントは驚くほど長持ちします。
当院でも患者さんごとに最適なメンテナンス計画を立て、長期安定をサポートしています。
インプラントの成功は
「治療前」→「治療中」→「治療後のメンテナンス」
この全ての流れを丁寧に行うことで実現します。
これらを守ることで、インプラントは20年以上、安心して使える治療になります。
| 診療時間 | |
|---|---|
| 月火水金土 | 9:00〜13:00/14:00〜18:00 |
| 木・日・祝 | 休診 |
※祝日ある週については木曜営業